Tandimplantaten op jonge leeftijd
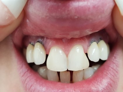
Bertinne is een patient waarbij op jeugdige leeftijd implantaten en kronen zijn geplaatst.
Ten gevolge van de groeicurve komen de implantaten die werden geplaatst op zeer jonge leeftijd bloot te liggen en vertoonden spleetjes. Dit is een volledig normale evolutie.
Met de mondscanner werden de vormen perfect in beeld gebracht en werd de patient van nieuwe kronen voorzien.
Deze ingreep is voor Bertinne volledige kostenloos, door de nauwe samenwerking met diverse verzekeringen werd alles terugbetaald.



